
우리 눈에는 카메라의 필름역할을 하는 망막이라는 신경조직이 존재합니다. 시신경이 분포하고 있는 망막에서도 그 중 가장 중요한 중심부 망막을 황반이라고 하며 황반은 민감한 부위로 사물의 중심을 볼 수 있게 하고 사물을 인식해 색을 구별하는 등 시력의 90%를 담당합니다.

여러 가지 원인에 의해 황반부에 변성이 일어나 시력에 장애가 생기는 질환을 황반변성이라고 합니다.
원인
명확하게 밝혀지지 않았지만 고령, 흡연, 유전적 특성, 고혈압 등 심혈관계질환, 고지혈증, 반대 눈의 황반변성 기왕력, 가족력, 비만, 자외선 등이 있습니다.

증상

황반부에 변성이 생기면 시력감소, 중심암점, 변시증 등이 나타날 수 있습니다. 하지만 황반변성의 증상은 종종 환자가 잘 깨닫지 못할 수 있기 때문에 정기적인 안 검진을 받는 것이 중요합니다. 노인이나 망막질환의 가족력이 있는 경우 특히 중요하며 조기 발견하여 진단, 치료할수록 시력을 보존할 가능성이 월등히 높습니다.
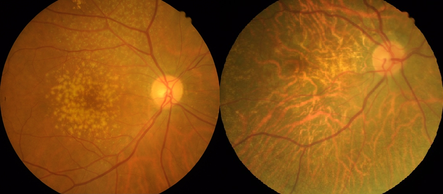
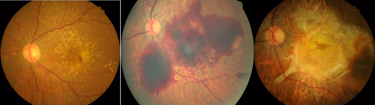
건성(비삼출성) 황반변성

황반 밑에 비정상적인 신생혈관이 자라는 경우입니다. 이러한 신생혈관은 쉽게 파열하여 황반부에 삼출물, 출혈이 발생하게 되며, 황반부의 파괴는 빠르게 일어나 중심시력이 급속히 나빠지고 영구적 중심시력 소실을 가져옵니다. 연령관련 황반변성으로 인한 법적 실명상태의 90%를 차지합니다.
근시성 황반변성
근시로 인해 눈이 지속적으로 길어지면서 황반의 망막, 맥락막과 색소상피가 얇아지고 위축됩니다. 주로 30대 이후로 발생하며, 맥락막하 신생혈관으로 인한 장액성 및 혈액성 황반변성으로 시력이 저하됩니다.
유리체강내 약물 주입술

눈 속에 특수한 약물을 주입하여 새로 자라난 혈관조직을 없애는 치료방법입니다.
광역학 치료법

팔 또는 다리의 혈관에 ‘비쥬다인’이라고 하는 특수약물을 주사한 후에 눈의 황반부위에 특수파장의 레이저를 쏘는 방법입니다.
예방
황반변성으로 인한 계속되는 시력상실을 막는 가장 좋은 방법은 정기적인 안 검진으로 황반부 이상을 초기에 치료하는 것이 중요합니다. 조기에 치료하면 병변의 크기가 비교적 작으므로 손상을 입은 부위가 적기 때문입니다. 만약 흡연을 한다면 반드시 금연해야 하며, 일상생활에서 자외선 차단, 혈압관리, 체중조절, 운동, 비타민 C,E, 베타-카로틴, 오메가3, 루테인, 안토시안 등의 항산화제 복용이 도움이 됩니다.