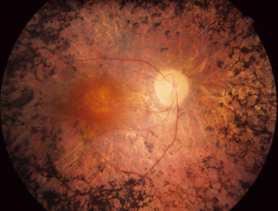
- 망막색소변성
망막색소변성은 진행성 광수용체 기능장애로 양안을 모두 침범하며 시야손상이 진행하는 유전성 질환입니다. 가장 특징적인 증상은 야맹증이며 중심시력은 일부 경우를 제외하고는 대개 말기로 진행되기 전까지는 영향을 받지 않습니다. 그러나 백내장 또는 낭포황반부종이 동반된 경우 조기에 시력저하가 발생할 수 있습니다. 두 번째로 특징적인 증상은 진행성 시야협착입니다. 초기에는 주변부 시야결손이 발생하고 점차 주변부, 중심부로 진행하여 종국에는 중심시야마저 잃게 됩니다.

원인
망막의 막대세포, 원뿔세포가 손상되어 발생하며 유전이 원인입니다. 대부분의 경우 상염색체 열성, 산발성 또는 simplex type 유전형태를 보이며 일부 상염색체 우성, X염색체 관련 형태를 보입니다. X염색체 열성유전과 연관된 경우 증상이 더욱 일찍 발생하고 빨리 진행하는 것으로 보고되고 있습니다.
치료
안타깝게도 아직 망막색소변성의 치료법은 알려져 있지 않습니다. 다만, 망막광수용체의 변성을 늦추거나 억제하기 위하여 비타민A, DHA, 오메가-3, 루테인 등을 복용할 수 있습니다. 또한 자외선 차단을 위해 외출 시 선글라스를 착용하는 것도 도움이 됩니다.
'안질환정보' 카테고리의 다른 글
| 황반변성 이란? (0) | 2023.12.17 |
|---|---|
| 미숙아망막병증 이란? (0) | 2023.12.15 |
| 중심장액맥락망막병증 이란? (0) | 2023.12.12 |
| 망막앞막 이란 무엇인가요? (0) | 2023.12.10 |
| 황반원공 이란 무엇인가요. (1) | 2023.12.07 |