뇌하수체는 뇌의 정중앙부 하단에 위치하는 기관으로 신체 내 다양한 호르몬 분비를 조절하는 중요한 역할을 한다. 이곳에 발생하는 뇌하수체 종양은 동양인의 경우 평생에 거쳐 약 20%가 겪는다는 미국 존스홉킨스 의대의 연구결과가 있을 정도로 의외로 흔한 뇌종양(뇌암)이다. 뇌하수체 종양이 무엇인지 자세히 살펴본다.
◆ 무증상인 이유는?
뇌하수체 종양은 대부분 지름이 10㎜보다 작은 미세 양성종양이면서 호르몬 분비에 영향을 주지 않는 비기능성 종양일 때가 많아 증상이 잘 나타나지 않는다. 종양을 발견하지 못하는 이들이 많은 것은 이러한 이유 때문이다.
특히 이렇게 증상이 나타나지 않는 뇌하수체 종양은 반드시 치료할 필요는 없다. 주기적으로 호르몬을 측정하고 영상검사를 하며 변화를 살펴보는 게 더 합리적이다.
다만 뇌하수체 종양이 특정 호르몬을 분비하는 선조직에서 발생한 기능성 선종인 경우 유방·난소·갑상샘·뼈·근육·부신 등 신체 부위에 두루 영향을 끼쳐 호르몬 균형을 흐트러뜨리고 증상을 발생시킬 수 있다. 기능성 선종은 ▲유즙분비호르몬 분비 선종(프로락틴 선종) ▲성장호르몬 분비 선종(말단비대증) ▲부신피질호르몬 분비 선종(쿠싱병) 등이 대표적이다.
기능성 선종 가운데 가장 흔한 것은 프로락틴 선종이다. 발견된 뇌하수체 선종의 35~40%를 차지하며 주된 증상으로 여성은 ▲무월경 ▲불임 ▲모유흐름(유루증) 등이고, 남성은 ▲성욕감소 ▲발기불능 등이 나타날 수 있다. 30~40대에서 자주 발견되는 말단비대증은 체격이 커지거나 머리‧턱 등이 커지면서 얼굴 모습이 변하고, 피부가 두꺼워지고 주름살이 깊어지는 게 특징이다.

진상욱 경희대학교 의대 내분비내과 교수(경희대병원)는 “말단비대증은 종양으로 성장호르몬이 과잉 분비돼 나타나기 때문에 발병 시점에 따라 증상이 다르다”며 “성장판이 닫히기 전에는 체격이 커지는 반면, 성장판이 닫힌 성인 시기에 발생했다면 아래턱 크기가 커지고, 손발 역시 커지면서 두꺼워지는 양상을 보인다”고 설명했다.
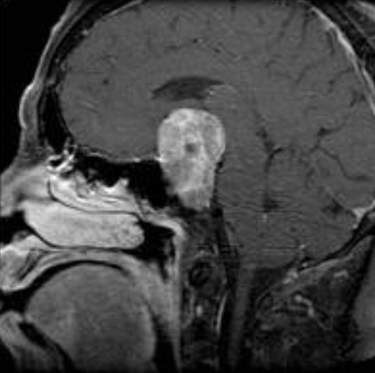
◆ 종양 커지면 시력장애 유발
호르몬 분비에 영향을 주지 않는 비기능성 종양도 크기가 커진다면 주변기관을 압박하거나 뇌하수체 조직으로 가는 혈액흐름을 저하시켜 증상을 일으킬 수 있다.
특히 뇌하수체 주변에는 시신경‧시교차‧내경동맥‧해면정맥동‧측두엽이 위치해 이와 관련된 여러 증상이 나타날 수 있다. 종양이 주변 시신경을 압박한다면 시력이 나빠지거나, 바깥쪽의 시야가 희뿌옇거나 검어지는 시야장애가 생길 수 있다. 주변 혈관이 압박받으면 두통이 발생하며 뇌척수액이 지나는 길을 막으면 뇌 안에 물이 차는 수두증도 나타난다.
종양이 정상적인 뇌하수체 조직으로 향하는 혈액흐름을 방해해 뇌하수체 기능 저하에 따른 호르몬 분비가 줄어들기도 한다. 이때 성선자극호르몬 분비가 결핍되면 여성은 무월경, 남성은 발기부전이 올 수 있다. 또한 성장호르몬 분비가 감소하면 키가 크지 않거나 근육 발달이 잘 안 된다.
또 갑상선자극호르몬이 부족하면 추위를 심하게 타고 피로감을 느끼며 빈혈이 오기 쉽고, 부신피질자극호르몬 결핍이 심할 땐 코르티솔 분비가 불가능해지면서 무력감부터 저혈압 쇼크까지 다양한 증상이 나타나 생명이 위험할 수도 있다.
이렇게 종양의 크기가 커지거나 기능성 선종일 때는 수술치료와 방사선치료, 약물치료 등의 항암요법을 고려할 수 있다. 일반적으로 시야장애는 즉각적인 수술을 통해 압력을 낮추면 90%까지 회복되며 뇌하수체 기능 저하도 정상으로 돌아올 수 있다.
진상욱 교수는 “뇌하수체 종양의 가장 기본적인 치료법은 수술”이라며 “종양에 따른 뇌하수체 질환의 국내 발병률은 매우 낮지만, 방치할 경우 신체 외적인 변화는 물론 이차적 질환으로 발전할 수 있어 전문적이고 계획적인 접근이 중요하다”고 강조했다.
'건강정보' 카테고리의 다른 글
| ★기억하세요 뇌졸중 ‘골든타임’ 3·6·4 법. (0) | 2023.11.10 |
|---|---|
| 5060 女 뱃살은 심장에 치명타 "완경 전에 빼야 한다" (0) | 2023.11.09 |
| 몸에 생긴 멍울 암일 때는 ‘이런 특징’ 있다. (0) | 2023.11.05 |
| 비만보다 더 위험한 ‘이것’, 치매 전조증상일 수 있어” (0) | 2023.11.03 |
| 혈관에 보약이 되는 음식들 (2) | 2023.11.02 |