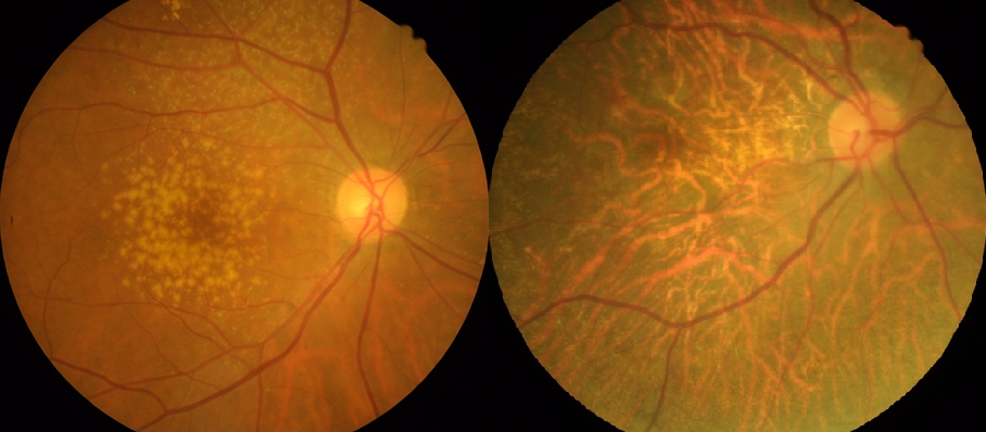
건성(비삼출성) 황반변성

황반 밑에 비정상적인 신생혈관이 자라는 경우입니다. 이러한 신생혈관은 쉽게 파열하여 황반부에 삼출물, 출혈이 발생하게 되며, 황반부의 파괴는 빠르게 일어나 중심시력이 급속히 나빠지고 영구적 중심시력 소실을 가져옵니다. 연령관련 황반변성으로 인한 법적 실명상태의 90%를 차지합니다.
근시성 황반변성
근시로 인해 눈이 지속적으로 길어지면서 황반의 망막, 맥락막과 색소상피가 얇아지고 위축됩니다. 주로 30대 이후로 발생하며, 맥락막하 신생혈관으로 인한 장액성 및 혈액성 황반변성으로 시력이 저하됩니다
'안질환정보' 카테고리의 다른 글
| 포도막염 이란? (1) | 2023.12.26 |
|---|---|
| 황반변성의 치료/ 예방 (2) | 2023.12.21 |
| 황반변성 이란? (0) | 2023.12.17 |
| 미숙아망막병증 이란? (0) | 2023.12.15 |
| 망막색소변성 이란? (0) | 2023.12.14 |