유리체강내 약물 주입술

눈 속에 특수한 약물을 주입하여 새로 자라난 혈관조직을 없애는 치료방법입니다.
광역학 치료법

팔 또는 다리의 혈관에 ‘비쥬다인’이라고 하는 특수약물을 주사한 후에 눈의 황반부위에 특수파장의 레이저를 쏘는 방법입니다.
예방
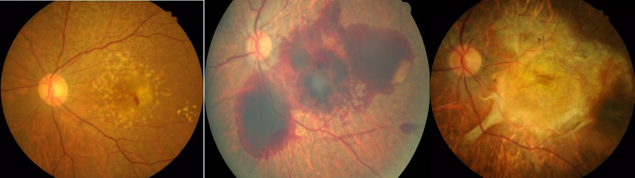
황반변성으로 인한 계속되는 시력상실을 막는 가장 좋은 방법은 정기적인 안 검진으로 황반부 이상을 초기에 치료하는 것이 중요합니다. 조기에 치료하면 병변의 크기가 비교적 작으므로 손상을 입은 부위가 적기 때문입니다. 만약 흡연을 한다면 반드시 금연해야 하며, 일상생활에서 자외선 차단, 혈압관리, 체중조절, 운동, 비타민 C,E, 베타-카로틴, 오메가3, 루테인, 안토시안 등의 항산화제 복용이 도움이 됩니다.