진균성 각막염
진균각막염은 곡물과 직물 등을 많이 취급하는 사람에게 미세한 각막상피 외상이 있을 때 감염되는 경우가 많지만, 최근에는 도시인에서도 감염이 비교적 흔하게 나타납니다. 먼지, 이물, 손, 각종 의복, 수건, 때로는 콘택트렌즈나 점안약을 통해 직접 감염되기도 하고, 혈액 또는 림프선을 통해 다른 조직에서 전이되기도 합니다. 증상은 세균각막염과 비슷하지만, 외상 후에 다소 늦게 발병하는 양상을 보이는 경우도 있습니다. 환자 눈에 보여지는 특징적인 소견으로 진균각막염을 의심할 수 있지만 이러한 것들도 항상 특이적인 것은 아니므로 세균학적 검사를 통해 곰팡이를 검출하여 진단합니다. 하지만 실제로 병변 부위로부터 진균을 규명하기 어려운 경우도 있어, 임상적으로 진단 치료하는 경우가 있습니다.

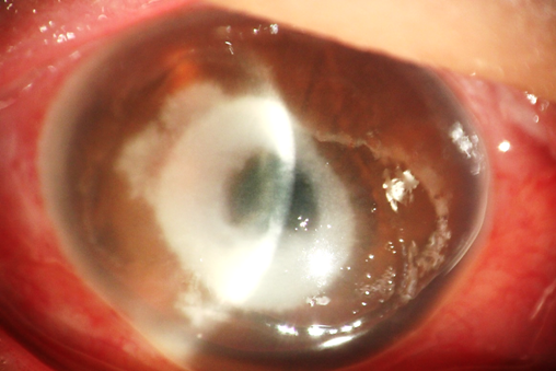
진균각막염으로 세균성각막염에 비해 각막염증 소견이 심한 양상을 보임
치료는 항진균제를 사용하지만, 치료가 어려운 경우가 많고, 각막혼탁이나 각막천공 등의 합병증이 생기는 경우도 많아 주의를 요합니다.